Krankenhaus Martha-Maria Halle-Dölau

Orthopädische und unfallchirurgische Diagnostik und Therapie

Behandlung von unfallchirurgischen und orthopädischen Erkrankungen und Tumoren in der Klinik für Orthopädie und Unfallchirurgie am Krankenhaus Martha-Maria Halle-Dölau

Dr. Sabine Schmitt im Aufklärungsgespräch in der Klinik für Orthopädie und Unfallchirurgie am Krankenhaus Martha-Maria Halle-Dölau

Orthopädische Untersuchungen und Eingriffe von Wirbelsäule, Fuß, Schulter und Co.: Unser Behandlungsangebot in Halle

Orthopädische und unfallchirurgische Verletzungen und Erkrankungen sind oftmals komplex und äußern sich durch eine Vielzahl an unterschiedlichen Symptomen.

Deshalb ist eine nicht-invasive und invasive orthopädische und unfallchirurgische Diagnostik und eine individuell angepasste Therapie wichtig, um Erkrankungen frühzeitig zu erkennen und erfolgreich zu behandeln.

Medizinische Schwerpunkte unserer Klinik für Orthopädie und Unfallchirurgie

In unserer Klinik für Orthopädie und Unfallchirurgie am Krankenhaus Martha-Maria Halle-Dölau bieten wir Ihnen deshalb ein großes Spektrum an Untersuchungen sowie konservativen und operativen Behandlungen auf Basis der aktuellen nationalen und internationalen Leitlinien.

Unsere medizinischen Schwerpunkte liegen in den folgenden Bereichen:

direkt zum Endoprothetikzentrum

Modernste technische Ausstattung und höchste medizinische Qualität

Jährlich werden mehr als 2.000 Patienten stationär in der Klinik für Orthopädie und Unfallchirurgie im Krankenhaus Martha-Maria Halle-Dölau behandelt.

Unsere Klinik ist mit modernsten Instrumentarien und medizinischen Geräten ausgestattet. Für die operative Versorgung verwenden wir modernste Titanimplantate. Je nach Erkrankung führen wir minimalinvasive Operationen oder endoskopisch unterstützte Operationen durch.

Dabei stehen uns modernste Geräte (digitale Röntgenanlagen, Computertomographie, Kernspintomographie und Mikroskop) zur Verfügung.

Endoprothetik

Die Endoprothetik in unserer Klinik für Orthopädie und Unfallchirurgie am Krankenhaus Martha-Maria Halle-Dölau umfasst mehrere Angebote und Schwerpunkte.

Endoprothetik des Hüftgelenkes

  • Primär-Totalendoprothese
    • bei Fraktur, Arthrose und Hüftkopfnekrose
  • Sekundär-Totalendoprothesen
    • bei fehlgeschlagener Primärendoprothese
    • bei Endoprothesenlockerungen
    • nach Endoprothesenausbau wegen Infektion
    • bei ausgeprägten Knochendefekten an Oberschenkel oder Becken

Endoprothetik des Kniegelenkes

  • Primär-Teilendoprothese bei Arthrose
  • Primär-Totalendoprothese bei Arthrose
  • Sekundär-Totalendoprothese
    • bei fehlgeschlagener Primärendoprothese
    • bei Endoprothesenlockerungen
    • nach Endoprothesenausbau wegen Infektion
    • bei ausgeprägten Knochendefekten an Oberschenkel oder Unterschenkel

Arthrose

Neben angeborenen Fehlstellungen, Fehlbildungen, Entzündungen, Überlastung und Verletzungen ist der natürliche Verschleiß eines Gelenkes der häufigste Grund für Gelenkbeschwerden wie Schmerz und Bewegungseinschränkung.

Symptome für Gelenkverschleiß

Dies macht sich beim Hüftgelenk zum Beispiel häufig durch Leistenschmerzen oder am Kniegelenk durch eine Instabilität mit Wegknickenund Hinken bemerkbar. Oftmals ist dieser Verschleiß die Summe mehrerer dieser Ursachen im Laufe eines Lebens.

Konservative und operative Behandlung von verschleißten Gelenken

Nach entsprechender Abklärung mit Erhebung der Krankengeschichte, körperlicher Untersuchung, Blutuntersuchung und weiterführender Bildgebung (Ultraschall, Röntgen, Kernspintomographie, Computertomographie) ist häufig zunächst die konservative, nicht operative Behandlung sinnvoll.

Nach Ausschöpfung dieser Maßnahmen ist der künstliche Gelenkersatz zur Schmerzreduktion, -freiheit und Wiederherstellung der Lebensqualität der letzte Schritt.

Individuell angepasste Implantate in höchster Qualität

Die endoprothetische Versorgung großer Gelenke ist ein Schwerpunkt unserer Klinik. Die verwendeten Implantate und Modelle werden dabei auf den Patienten und seine individuellen Gegebenheiten abgestimmt.

Dazu arbeiten wir ausschließlich mit namhaften Herstellern und modernsten aber bewährten Implantaten. Ziel ist die Rückkehr in den Alltag und die Ausübung sportlicher Aktivitäten.

Beim Hüftgelenkersatz verwenden wir unterschiedliche Implantate inklusive der Kurzschaftprothese. Vorzugsweise werden diese, in Abhängigkeit der Knochenqualität, zementfrei eingebracht. Gelegentlich werden teilzementierte Prothesen, sehr selten vollzementierte Komponenten verwendet.

Röntgenaufnahme einer Hüftendoprothese, deutlich sichtbar im rechten Hüftbereich.

Kurzschafttotalendoprothese Hüfte

Röntgenaufnahme einer Hüftendoprothese im rechten Hüftbereich, deutlich sichtbar.

Teilzementierte Totalendoprothese Hüfte

Kniegelenkersatz

Am Kniegelenk werden sowohl der Teilflächenersatz (Schlittenprothese), der vollständige und auch der achstabilisierte Gelenkflächenersatz (gekoppelt) durchgeführt. Der stationäre Aufenthalt beträgt in der Regel acht bis zwölf Tage. Es schließt sich eine stationäre oder auch ambulante Rehabilitation von drei Wochen an.

Röntgenbild eines Kniegelenkersatzes, sichtbar im rechten Kniebereich.

Mediale Schlittenprothese Knie in 2 Ebenen

Röntgenbild eines Kniegelenkersatzes, sichtbar im rechten Kniebereich.

Mediale Schlittenprothese Knie in 2 Ebenen

Röntgenbild eines Kniegelenkersatzes, sichtbar im rechten Kniebereich.

Kompletter Oberflächenersatz/Totalendoprothese Knie in 2 Ebenen

Röntgenbild eines Kniegelenkersatzes, sichtbar im rechten Kniebereich.

Kompletter Oberflächenersatz/Totalendoprothese Knie in 2 Ebenen

Wechselendoprothetik

Aber auch künstliche Gelenke unterliegen Verschleiß und Auslockerung in Abhängigkeit der Beanspruchung. Dabei sind Körpergewicht, Art der sportlichen Betätigung, Arbeitsbelastung, Knochenqualität, Begleiterkrankungen, Unfallgeschehen und Qualität der Erstimplantation wesentliche Faktoren.

Verschleiß aber auch Infektionen können zu einer Lockerung der Endoprothesen führen. Dies macht sich meist durch Gelenkschmerzen oder Instabilität des Gelenkes mit Wegknicken oder Hinken bemerkbar.

Austausch von künstlichen Gelenken

Die Zahl der Patienten mit Verschleiß künstlicher Gelenke und zusätzlicher Defekte am Knochen nimmt im Anbetracht des ansteigenden Lebensalters und gleichzeitig zunehmender Anzahl von Endoprothesenträgern an unserer Klinik deutlich zu.

Wechseloperationen sind in der Regel schwieriger, komplexer und komplikationsträchtiger als der Routineeingriff einer Erstimplantation und sollten deshalb vor Eintreten knöcherner Defektsituationen durchgeführt werden. Der richtige Zeitpunkt der Operation ist der Schlüssel zum Erfolg.

Röntgenbild einer Hüftendoprothese im linken Hüftbereich, deutlich sichtbar.

Modulare Langschaftprothese nach Wechseloperation Hüfte

Röntgenbild einer Hüftendoprothese, sichtbar links im Hüftbereich.

Modulare Langschaftprothese nach Wechseloperation Hüfte

Unfallchirurgie

Unser Schwerpunkt Unfallchirurgie bietet alle modernen Verfahren zur Behandlung unfallverletzter Patienten an. Ausgenommem davon sind lediglich komplexe Beckenfrakturen, höhergradige Schädel-Hirn-Traumata und Amputationsverletzungen.

Es stehen sämtliche Möglichkeiten der operativen Knochenbruchbehandlung der Extremitäten (lange Röhrenknochen und Gelenke) zur Verfügung. Korrekturoperationen vervollständigen das Repertoire.

Zum Spektrum gehört auch:

  • Arthroskopie (Spiegelung) von Knie- ,Schulter- und Sprunggelenk 
  • Versorgung von Sehnen und Bandverletzungen
  • Rekonstruktion des Knie- und Schulterbandapparates nach Verletzungen (zum Beispiel Rekonstruktion der Kreuzbänder nach Kreuzbandrupturoder Rekonstruktion der Rotatorenmanschette)

Zulassung zu berufsgenossenschaftlichen Heilverfahren

Die Klinik für Orthopädie und Unfallchirurgie am Krankenhaus Martha-Maria Halle-Dölau ist zugelassen zum berufsgenossenschaftlichen Heilverfahren (D-Arzt, Arbeits-, Schul- und Wegeunfälle) und erstellt Gutachten für die Berufsgenossenschaften und Unfallversicherungen.

Wirbelsäulenchirurgie

In unserer Klinik für Orthopädie und Unfallchirurgie behandeln wir schwerpunktmäßig Verletzungen der Wirbelsäule.

Dazu gehören:

  • Frakturen der Wirbelsäule (Wirbelkörperbruch)
  • Discoligamentäre Instabilitäten der Wirbelsäulensegmente
  • Posttraumatische Fehlstellungen der Wirbelsäule
  • Tumorerkrankungen der Wirbelsäule (Wirbelsäulentumor)

Die Behandlungsoptionen umfassen vielfältige Möglichkeiten und Kombinationen:

  • Konservative Übungsbehandlung
  • Dorsale Verfahren (Fixateur interne, Dekompressionsoperationen)
  • Ventrale Verfahren (minimalinvasiv thorakoskopische Rekonstruktionen und Stabilisationen von TH3 bis L3)
  • Kyphoplastie

Operative Behandlung von Wirbelsäulenerkrankungen

Zu unserem Behandlungsspektrum gehört ebenfalls die operative Behandlung von Wirbelsäulenerkrankungen

Das konservative und operative Behandlungsfeld im Bereich der Wirbelsäule unserer orthopädischen Klinik liegt vorwiegend auf dem Gebiet der degenerativ bedingten Erkrankungen der lumbalen Wirbelsäule mit Rückenschmerzen.

edoch werden auch osteoporotisch bedingte Frakturen (Knochenbruch)der Brust- und Lendenwirbelsäule sowie tumorbedingte Läsionen in diesen Körperegionen therapiert.

Konservative Therapie und OP bei orthopädischen Erkrankungen

Primär stehen die konservativen Therapien am Anfang unserer fachspezifischen Behandlung. Bei ausbleibendem konservativem Behandlungserfolg steht die Indikation zur operativen Versorgung.

Diese wird jedoch nur in Abhängigkeit von einem natürlich korrelierenden klinischen Krankheitsbild und entsprechend radiologisch gesichertem pathologischem Befund mittels weiterführender Diagnostik (in der Regel eine Magnetresonztomographie der Wirbelsäule) umgesetzt.

Individuell zugeschnittene Therapiekonzepte

Operationen an der Wirbelsäule gehören heute zu den Standardtherapien der medizinischen Behandlung. Die Entscheidung zu einem operativen Eingriff wird in unserer Klinik vertrauensvoll gemeinsam durch Arzt und Patient getroffen.

Hierzu gehört eine korrekte Darlegung der klinischen und radiologischen Befunde durch den Arzt sowie eine umfassende Erläuterung der Gesamtbehandlung und der die Operation betreffenden möglichen Risiken.

Mikrodiskektomie

MRT-Aufnahme der Lendenwirbelsäule, zeigt Bandscheiben und Wirbelkörper.

Bei einer akuten lumboischialgiformen (ins Bein ausstrahlenden) und dermatombezogenen Klinik mit möglichen neurologischen Störungen (motorisch und sensorisch) sowie einem chronifiziertem Schmerzsyndrom bei entsprechend radiologisch gesichertem Bandscheibenvorfall steht die Indikation zur Mikrodiskektomie desselben.

In unserer Klinik wird eine offene mikrochirurgische Operation unter Zuhilfenahme eines Operationsmikroskopes als Standardverfahren gewählt. Eine spezielle perioperative Lagerung zur Minimierung der Operationsrisiken wird umgesetzt.

Fünf bis sieben Tage stationärer Aufenthalt

Gewöhnlich beläuft sich ein stationärer Aufenthalt bei solch einem Eingriff auf fünf bis sieben Tage. Postoperativ sind bestimmte Verhaltensregeln zu beachten, die jedoch bereits vor der Operation an den Patienten angetragen werden.

Minimalinvasive selektive knöcherne Dekompression und Stabilisierungsoperationen der lumbalen Wirbelsäule

Operative Behandlung der degenerativ bedingten lumbalen Spinalkanalstenose

Eine weitere Ursache für lumboischialgiforme Ausfälle kann eine degenerativ bedingte lumbale Spinalkanalstenose (Einengung des Rückenmarkkanals) sein.

Auch hier besteht bei ausgereizter konservativer Therapie die Möglichkeit einer operativen Behandlung durch eine selektive knöcherne Dekompression (Erweiterung des Rückenmarkkanals).

Diese Operation wird in unserer Klinik im Normalfall ebenfalls als minimalinvasive Therapie umgesetzt. Dabei kommen das Operationsmikroskop und spezielle Lagerungskissen zum Einsatz.

Behandlung der multisegmentalen lumbalen Spinalkanalstenose

Bei einer bestehenden multisegmentalen lumbalen Spinalkanalstenose mit daraus resultierenden verschleißbedingten Instabilitäten der Wirbelsäulensegmente genügt eine selektive knöcherne Dekompression oft nicht, sodass zusätzlich zur mehretagigen Dekompression eine Stabilisierung der Wirbelsäule mittels Fixateur interne mit zusätzlicher Fixierung des ventralen (vorderen) Pfeilers durch intercorporale Cages (Platzhalter zwischen den angrenzenden Wirbelkörpern) notwendig wird.

Dank verbesserter Operationsverfahren und entsprechender Werkzeuge ist es meist möglich, diese vordere Stabilisierung ebenfalls in einer Operationssitzung von dorsal (hinten) umzusetzen.

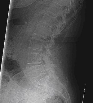
Röntgenbild der Lendenwirbelsäule zeigt Wirbelkörper und Bandscheiben deutlich.

Osteoporotisch bedingte LWK 2-Fraktur

Röntgenbild der Lendenwirbelsäule mit Wirbelkörperfraktur und Kyphoplastie.

Stabilisierung des Wirbelkörpers mittels Kyphoplastie LWK 2

Frakturbehandlung bei osteoporotisch bedingten Frakturen der Wirbelsäule

Bei einer vorliegenden Osteoporose treten neben ausgeprägten Schmerzen gehäuft Frakturen im Bereich der Wirbelsäule auf.

Minimalinvasive Stabilisierung durch Kyphoplastie

Bei den häufig stabilen Frakturen mit Einbrüchen im Bereich der Deck- und Grundplatte der Wirbelkörper ist eine operative Versorgung oft durch eine minimalinvasive Stabilisierung der Wirbelkörper durch eine sogenannte Kyphoplastie als eine komplikationsarme und schonende Operation möglich.

Die sofortige Schmerzreduktion und zunehmende Mobilisation wird dankbar von den Patienten angenommen. Der Krankenhausaufenthalt beläuft sich so nur auf wenige Tage. Zusätzlich ist es wichtig, die medikamentöse Therapie der Osteoporose im ambulanten Rahmen fortzusetzen.

Dorsale Stabilisierung mit Zementaugmentation

Bei instabilen Frakturen ist der Umfang der Operation umfassender.

In diesen Fällen greifen wir in unserer Klinik auf eine dorsale Stabilisierung mit möglicher Zementaugmentation (Zementverankerung der Schrauben zur Vermeidung eines Ausreißens der Schrauben aufgrund verminderter Knochenqualität) zurück. Auch diese Operation wird in unserer Klinik als minimalinvasive Operation umgesetzt.

Röntgenbild der Lendenwirbelsäule zeigt Wirbelkörper und Bandscheiben deutlich.

Osteoporotisch bedingte LWK 2-Fraktur

Röntgenbild der Lendenwirbelsäule mit Wirbelkörperfraktur und Kyphoplastie.

Stabilisierung des Wirbelkörpers mittels Kyphoplastie LWK 2

Dorsale Stabilisierung instabiler Wirbelkörpermetastasen

Operative Therapie von knöchernen Metatasten

Tumorbedingte Erkrankungen setzen leider auch knöcherne Metastasen und machen auch keinen Halt vor der Wirbelsäule. Bei entsprechend auftretenden Metastasen im Bereich der Wirbelsäule ist oft die Stabilität derselben gefährdet mit nicht zuletzt auftretenden Schmerzen.

Auch dabei besteht die Möglichkeit einer operativen Therapie, die abhängig vom Erkrankungsstadium eine minimalinvasive dorsale Stabilisierung mit oder ohne knöcherner Dekompression oder eine Kyphoplastie notwendig macht.

Fußchirurgie

Behandlung von Zehen- und Fußfehlstellungen

Der Fuß ist eine hochkomplexe und äußerst leistungsfähige Konstruktion – stabil, flexibel und sensibel zugleich. Trotz seiner vielen Teile ist der Fuß sehr stabil und liefert schnelle und präzise Rückmeldung darüber, wo er gerade geht und steht.

Einige der häufigsten Probleme sind Fehlstellungendes Vorfußes und der Zehen. Diese stellen nicht nur einen kosmetischen Nachteil dar, sondern sind auch sehr schmerzhaft. Bei der Fußchirurgie kommt es daher darauf an, eine natürlich aussehende, schmerzfreie Funktionalität des Fußes wieder herzustellen.

Häufige Erkrankungen des Vorfußes und Therapie-Ansätze

Zu den häufigsten Fehlstellungen des Vorfußes und der Zehen gehören beipielsweise Hallux valgus (Ballenzeh) und Hallux rigidus.

Hallux-Deformationen stellen nicht nur einen kosmetischen Nachteil dar, sondern sind auch sehr schmerzhaft. Üblicherweise geht ein Hallux mit fortschreitender Arthrose einher, die mit Hilfe der Fußchirurgie gemildert werden kann. In den meisten Fällen kann bei der Hallux-Operation das Gelenk erhalten werden.

Häufig auftretende Deformationen wie Krallenzeh, Spreizfuß, Plantarfasziitis und Haglundferse (Fersensporn) können heute ebenfalls relativ schonend operativ behandelt werden, sollten konservative Therapien wie Einlagendie Vorfuß- oder Fersenschmerzen nicht ausreichend lindern.

Fußsprechstunde am Freitag

Falls Sie Fragen rund zu Erkrankungen des Fußes, den gängigen OP-Verfahren oder unserem Behandlungsangebot haben, helfen wir Ihnen gerne weiter. Nach der Überweisung durch einen Fachkollegen helfen wir Ihnen gerne in unserer Fußsprechstunde jeden Freitag von 11.30 Uhr bis 13.00 Uhr.

Schulterchirurgie

Die Schulterchirurgie in unserer Klinik für Orthopädie und Unfallchirurgie am Krankenhaus Martha-Maria Halle-Dölau umfasst folgende Schwerpunkte.

Arthroskopische Chirurgie der Schulter

  • Stabilisierung der Schulter nach Schulterverrenkungen
  • Rekonstruktion des Schultereckgelenkes
  • Entlastungsoperation (subakromielle Dekompression, Schultereckgelenkresektion) bei Engpasssyndrom

Offene Chirurgie der Schulter

  • Rekonstruktion der Rotatorenmanschette
  • Stabilisierung der Schulter nach Schulterverrenkungen
  • Umstellungsosteotomien am körpernahen Oberarm
  • Rekonstruktion des Schultereckgelenkes
  • Tenodese der langen Bicepssehne
  • Stabilisierung von Frakturen jeglicher Art im Schulterbereich

Multimodale Schmerztherapie

Behandlung von Rückenschmerzen

Ein Schwerpunkt unserer Klinik für Orthopädie und Unfallchirurgie am Krankenhaus Martha-Maria Halle-Dölau ist die konservative und interventionelle Behandlung von Rückenschmerzen aufgrund unterschiedlichster Ursachen – vom Bandscheibenvorfall über degenerative Veränderungen bis hin zur schweren Skoliose.

Wenn die durchgeführte ambulante Behandlung ausgeschöpft ist oder nicht erfolgreich war, bieten wir bei therapieresistenten Beschwerden eine stationäre Behandlung an.

Manuelle Therapie, Physiotherapie und multimodale Schmerztherapie

Die intensive individuelle Einzeltherapie steht im Vordergrund. Es werden gezielte physiotherapeutische und manualtherapeutische Behandlungen mit kontrollbedürftiger interventioneller Maßnahmen – also Injektionen im rückenmarksnahen Bereich oder auch in anderen komplexen Regionen – kombiniert.

Bei komplexen Schmerzbildern und chronischen Schmerzsyndromen bieten wir zudem die Möglichkeit einer multimodalen Schmerztherapie. Das heißt: Mehrere Fachdisziplinen arbeiten gemeinsam und parallel, um die verschiedenen Schmerzlokalisationen zu identifizieren und angehen zu können.

Für die Therapie chronischer Schmerzen müssen zur gleichen Zeit eine medizinische und psychologische Behandlung sowie physikalische und physiotherapeutische Therapiemaßnahmen geplant und koordiniert sowie mit dem Patienten besprochen und vereinbart werden. Jede Therapieform ergänzt und unterstützt die andere.

Auf diesem Wege versuchen wir, wenn möglich, schwere operative Eingriffe zu umgehen oder hinauszuzögern.

Handchirurgie

In unserer Klinik für Orthopädie und Unfallchirurgie decken wir durch qualifizierte und subspezialisierte Mitarbeitende einen Großteil des sowohl elektiven als auch akuten verletzungsbedingten handchirurgischen Behandlungsspektrums ab.

Das Angebot unserer Handchirurgie umfasst:

  • Nervenkompressionssyndrome (zum Beispiel: Karpal- oder Cubitaltunnelsyndrome alias CTS, KTS,SNUS)inklusive Denervierungsoperationen im Hand- und Unterarmbereich
  • Sehnenscheideneinengungen (zum Beispiel: Schnappfinger, Hausfrauendaumen) und -ansatzentzündungen (zum Beispiel Tennis- und Golferellenbogen)
  • Mehrstufige Behandlungen von symptomatischen Arthrosen der Hand (zum Beispiel: Rhizarthrosen) und der Unterarmregion bis hin zum künstlichem Gelenkersatz von Gelenken der Finger, der Hand- und Ellenbogengelenksregion
  • Rheumachirurgische Eingriffe zur Funktionssicherung oder auch Wiederherstellung einer Greiffunktion
  • Achskorrekturen der körperfernen Elle und Speiche
  • Handgelenksspiegelungen bei entzündlichen Veränderungen der Schleimhäute am Handgelenk sowie zur Verifizierung relevanter ligamentärer Verletzungen
  • Weichteilige Versorgungen – zum Beispiel bei lokalen Tumoren, Ganglien der Gelenke (sogenannte Überbeine) oder sekundären Fingerfunktionsstörungen im Rahmen der Dupuytren-Erkrankung
  • Akutversorgungen von Verletzungsfolgen aller funktionellen Strukturen inklusive Sehnennähte und oder ein- oder mehrzeitige Rekonstruktionen sowie Frakturversorgungen inklusive lokaler plastischer Defektdeckungen

Aus organisatorischen und strukturellen Gründen bieten wir keine Replantationschirurgie bei funktionell relevanten Amputationsverletzungen an.

Ambulante handchirurgische Eingriffe und Operationen

Ein Großteil der aufgeführten handchirurgischen Eingriffe ist heute mittels ambulanter Operationen unter schonenden regionalen Narkoseverfahren möglich. Die Entscheidung für die adäquate Behandlung erfolgt dabei immer auf der Basis eines direkten Gespräches und einer Untersuchung in unserer Sprechstunde.

Unterstützung gesucht

Unterstützen Sie unsere gemeinnützigen Projekte.

Jetzt spenden Projekte kennenlernen

Fachbereiche
Zurück
Fachbereiche Kliniken Zentren Institute Abteilungen Ambulanter Pflegedienst Medizinische Versorgungs-Zentren
Patienten & Angehörige
Zurück
Pflege
Zurück
Krankenhaus
Zurück
Kontakt
Karriere Alle Infos Alle Jobs